В Турции стоматолог вкрутил зубной имплант в полость мозга пациента и сбежал (8 фото)
40-летний Рамазан Йылмаз обратился в частную стоматологическую клинику в Бурсе с зубной болью. Осмотревший его стоматолог сказал, что несколько шатающихся зубов необходимо удалить, а на их место установить импланты. 
Но во время операции стоматолог, пытаясь вставить один из имплантатов на место, проткнул челюстную кость пациента. 
«Испытывая дискомфорт с зубами, я обратился в частную стоматологическую клинику в Нилюфере, — рассказал пострадавший. — После обследования мне сообщили, что у меня хрупкая костная структура, зубы расшатаны, и мне рекомендуется пройти процедуру имплантации. Доктор утверждал, что имеет 24-летний опыт работы в этой области, и заверил нас в своей компетентности. Поэтому мы доверили ему эту процедуру». 
«Позже, когда я вырывал зубы и проводил процедуру имплантации в тот же день, он сообщил своему секретарю, что устройство, которое он использовал, было неисправно. Затем он начал проводить процедуру вручную». 
«Когда он пытался установить винт, я заметил, что он прилагает чрезмерную силу. Я указал ему на это, упомянув, что услышал звук, похожий на треск кости. Однако он заверил меня, что это нормально.
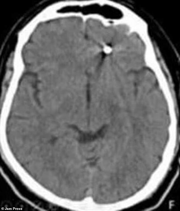
Но когда он продолжил давить на винт, тот пробил мою челюстную кость и вошел в область за глазом, где находятся мозг и спинномозговая жидкость». 
«Когда я закричал от боли, он наконец сделал рентгеновский снимок. Осознав всю серьезность ситуации, он отвез меня в отделение неотложной помощи университетской больницы Улудага, а сам уехал.
После обследования на томографе выяснилось, что винт вонзился в область, где находится мозг и спинномозговая жидкость. После этого врачи-эксперты собрались и приняли решение о проведении операции». 
Операция длилась несколько часов, но хирургам удалось извлечь винт из мозга пациента. Его выписали через несколько дней, и сейчас он идет на поправку. 
По словам Йылмаза, совершивший ошибку стоматолог (известны лишь его инициалы — A. Д.) отказался вернуть ему деньги. Поэтому мужчина обратиться в суд.
«Перед операцией меня предупредили, что я могу умереть, — сказал он. — Я попрощался со своими детьми. К счастью, я благополучно перенес операцию».
A.Д. утверждает, что инцидент произошел «из-за медицинского осложнения». 

















